Samstag, 29. Januar 2011

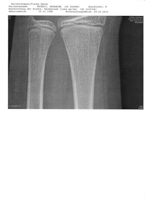
tja Töchter hat nun einen Gips...




... für mindestens 4 Wochen...




es ist zum Glück nicht komplett durchgebrochen... am rechten Knochen aussen sieht man einen Hubel... und da ist der Knochen angebrochen...




8 Kommentare:

  1. Liebe Grüße an Natascha, ich wünsche ihr gute Besserung.

    Schönes Wochenende
    Liebe Grüße
    Ines

    AntwortenLöschen
  2. GAnz lieben Dank Ines... ich richte es ihr sehr gerne aus...

    Auch dir ein ganz schönes Wochenende...

    Liebe Grüsse Niki

    AntwortenLöschen
  3. Gute Besserung für die Kleine und sie soll sich ganz viele Unterschriften und Bilder auf den Gips Malen lassen :o)

    Liebe Grüße
    Andrea

    AntwortenLöschen
  4. Liebe Andrea, da das Handgelenk noch geschwollen ist hat sie jetzt noch einen offenen Gips... am Donnerstag oder Freitag kommt dann noch eine Schicht Gips drauf... und danach hat sie Schulferien 2 Wochen... vielleicht schafft sie es das ihre Klassenkameraden in der 4ten Woche draufschreiben können...

    Liebe Grüsse Niki

    AntwortenLöschen
  5. Ist ja auch nicht so wichtig,hauptsache sie hat nicht so große schmerzen. Ein dickes drückerl von mir.

    Liebe Grüße
    Andrea

    AntwortenLöschen
  6. Och ne...
    Gute Besserung ans Töchterchen.

    LG
    Nicole

    AntwortenLöschen
  7. Oh je , das ist aber nicht so schön ... die arme * Maus * ... .
    Bestell deinem Töchterlein mal ganz liebe Grüße und gute Besserung .

    Herzlichst liebe Grüße
    Gabi

    AntwortenLöschen
  8. Auch von mir Gute Besserung für Dein Töchterchen!

    Ganz liebe Grüße und -trotzdem- eine schöne Woche,
    Claudia

    AntwortenLöschen